Sobre JEAN BENETTI

Sobre- Especialista em Ortodontia;
- Mestrando em Disfunção Têmporo Mandibular e Dor Orofacial;
- Professor de Ortodontia na Escola Santa Rosa - Poços de Caldas MG;
- Membro do Grupo Straight Wire Brasil;
- Membro da Associação Brasileira de Ortodontia e Ortopedia Facial (ABOR)
- Habilitado no sistema In-ovation-L de ortodontia lingual invisível;
- Habilitado no sistema autoligado.

Serviços

SobreOrtodontia rápida e de qualidade com diversos tipos de aparelhos.
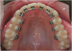
Surpreendam-se com o melhor aparelho estético do mundo: In-Ovation L, com ele não se percebe que você usa aparelho, pois fica escondido na parte interna do sorriso.

Contato

Envie sua mensagem. Terei prazer em lhe responder.

(35) 3722-6012

(35) 3721-1369

jean.benetti@bol.com.br

João Pinheiro, 207 - Poços de Caldas - MG

CRO 28662